When "Just the Flu" Turned Into a Nightmare: My Brain Tumor Journey

Part 1: The Seizures I Didn't Know I Had

Hey there, fellow parents and pet lovers. It's me, Shea, and I'm here to share a story that's been a whirlwind, to say the least. As you know, we're all about family, fun, bonding, and keeping our little ones (and furry ones!) safe. But sometimes, life throws us curveballs that we never saw coming.

July 2024 started like any other month. A few sniffles, a bit of fatigue – I figured it was just the summer flu making its rounds. I'd had a couple of weird "episodes" where I'd woken up on the floor, disoriented and confused. But honestly, I didn't think much of it. I just assumed I'd fainted or something. Looking back, those were my first seizures, but I had no idea. Check out the Full Video Story Below.

Then came the morning that shook things up. I woke up with a throbbing pain in my shoulder. It felt like I'd slept on it wrong, but this was different. My left arm felt heavy, almost useless. I needed my coffee fix, but I couldn't even lift my arm to grab the keys. That's when I knew something was seriously wrong.

I woke up my amazing fiancée, Sam, a few minutes early and asked her to drive me to McDonald's for my iced coffee. We live just around the corner, so we left our phones at home. If only we knew what was about to happen...

As we waited in the drive-thru line, I started to feel… strange. Then, it hit. A full-blown seizure, right there in the McDonald's drive-thru. Convulsing, foaming at the mouth – it was like something out of a movie, but terrifyingly real. My fiancée, bless her heart, held on to me, managed to get me home, and our daughter called an ambulance.

I woke up in a daze, paramedics asking me questions that I knew the answers to but couldn't quite form the words. It was like being trapped in a dream, a really bad one. The ambulance ride was a blur, but I remember thinking, "Okay, I must have messed up my shoulder." That was the extent of my understanding.

At the hospital, the pain in my shoulder was excruciating, so they gave me some pain medication and ran some tests. I drifted off to sleep, thinking I'd wake up with a sling and a wild story to tell.

But when I woke up, the doctor's words shattered my reality. "Your shoulder isn’t broken," he said, "but we need to talk about the massive tumor in your brain."

A tumor? In my brain? I'd had cancer twice before, so my mind immediately jumped to the worst-case scenario. "No," I said, "you've got the wrong person. I just broke my shoulder."

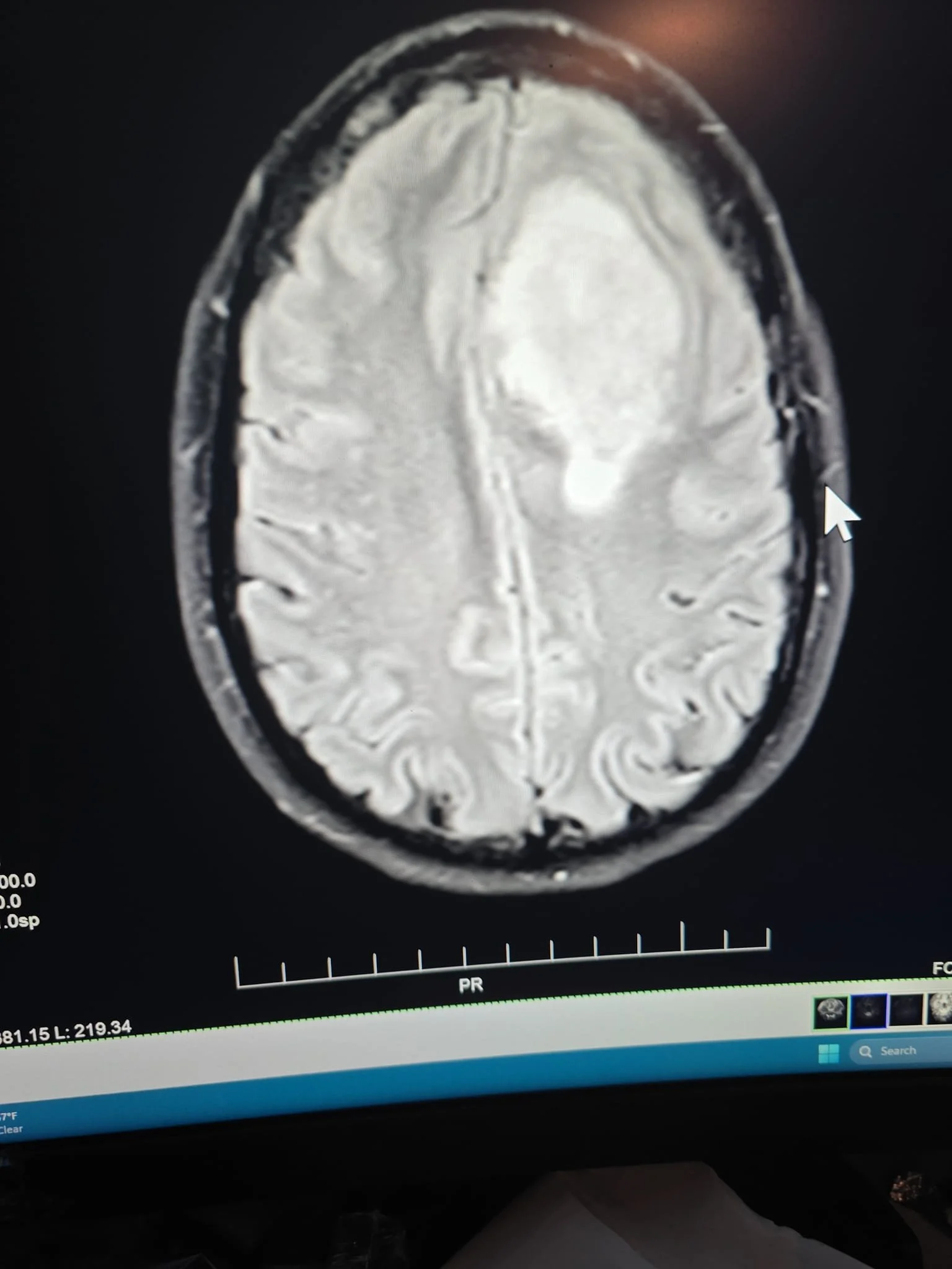
But he didn't have the wrong person. The scans were clear: a huge tumor, taking up a quarter of my brain. My fiancée and I sat there, staring at the images, the silence broken only by the frantic beating of my heart. Panic set in, a cold, icy dread. I looked at my fiancée, and I could see the fear mirrored in her eyes. All I could think was, "Am I going to die?"

I've been through tough times before, but this was different. This was my brain, the very essence of who I am.

A Broken Shoulder and a Failing Kidney: More Bad News

The ambulance ride to the larger hospital was a blur. The pain meds were doing their job, but I was still drifting in and out of consciousness. My Wife followed behind, her worry a tangible presence.

The new hospital was a maze of tests and scans. And the results? Well, they were… extensive. Turns out my shoulder wasn't just a little sore. I had a broken scapula in three places, a broken humerus in two, and around ten microfractures. Ouch.

The Mind's Echo - Brain Tumor Warrior
from $16.00

The brain is the very core of who we are – our thoughts, our memories, our spirit. When it's under attack, the battle is intensely personal, a silent war that reverberates through every fiber of our being.

Wear "The Mind's Echo - Brain Tumor Warrior" tee as a badge of honor. Let it speak to the silent battles waged within, acknowledging the profound challenge, but fiercely proclaiming the unbreakable spirit that triumphs. It's a testament to resilience, a symbol of solidarity, and a powerful reminder that even when the mind's landscape is forever altered, the fight continues, and you are part of an enduring collective.

And the tumor? It was more like two, with a little "baby tail" connecting them. A real family reunion up there. And until they were removed, we wouldn't know if they were cancerous.

Then came the next blow. My kidneys were failing. Surgery was off the table until they could get them back on track. Two weeks. Two long, miserable weeks in a hospital bed, hooked up to IVs, pain meds, and nothing but a sling for my arm. [Fiancée's Name] was my rock, driving an hour each way after work, juggling our kid, the pets, and the house. I don't know how she did it. And the stress? It took its toll. She had a stroke, it was a very scary time for both of us.

Finally, some good news: my kidneys were cooperating. Surgery was scheduled. I was lucky enough to have one of the best neurosurgeons in New England, a specialist who could handle this complex case.

But the rollercoaster wasn't done yet. Three hours into prep, they called [Fiancée's Name]. The surgery was off. An infection, a leftover from a skin cancer removal, was right where they needed to make the incision.

More waiting. More antibiotics. More uncertainty. They sent me home, still dealing with the seizures and the unknown. But before we went, I asked [Fiancée's Name] to take me somewhere beautiful. I needed to see the world, just in case. She took me to Mount Washington, and it was breathtaking. A reminder of the beauty I'd been missing.

Shoulder Surgery and a Glimpse of Hope

A couple of weeks later, it was time for my shoulder surgery. Titanium plates, screws, and wire – a veritable hardware store in my arm. The pain was intense, but it was a necessary step. The recovery was grueling. It took three long months of physical therapy, pushing myself to regain strength and mobility. There were days when I wanted to give up, but the thought of holding my child, playing with my pets, and simply living my life kept me going.

Finally, the day arrived. Tumor removal time. I went under, and [Fiancée's Name] waited. When the surgery was done, they let her see me before they cleaned me up. Tubes everywhere, but I was alive. We cried, a mix of relief and exhaustion.

Then, I woke up. Starving. Disoriented. And apparently, a bit of a handful. I tried to pull out my IVs, push past the nurses – all I wanted was food. It took a while, but they finally got me settled and fed me, and I drifted back to sleep.

The Long Road Home: Recovery, Setbacks, and a New Normal

Waking up in the hospital room after brain surgery was… interesting. I sneezed, and let me tell you, it wasn't your average "achoo." It was a pounding, throbbing headache, a reminder of the 5 metal plates, countless screws, and bovine medical skin holding my head together. And the sounds! Grinding, clicking – every little movement was a symphony of medical hardware.

Even simple things like going to the bathroom were a challenge. I couldn't strain, not even a little. I had to wait until… well, let's just say I was close to a very embarrassing situation before they’d let me go. With the 4th of July looming, I was desperate to get home. I just wanted to be in my bed, surrounded by my family and fur babies.

Thankfully, after a few days, they released me. I was still pretty out of it, but we even had breakfast with friends the next day. I think the pain meds were doing most of the work at that point.

Then, the swelling started. One eye, then the other, puffed up like balloons. I could barely see. It was miserable. And to top it off, they were lowering my pain meds, so I was dealing with both the physical and mental effects of withdrawal.

The swelling eventually subsided, but my vision was still a mess. And as I started to talk more, we realized my memory and speech weren't quite right either. It wasn't until I tried to do even simple tasks that I realized how long the road to recovery would be.

I focused on healing, slowly weaning off the pain meds and continuing physical therapy for my arm and shoulder. I was put on waiting lists for eye and memory rehab. I thought maybe, just maybe, I could go back to work soon.

But then I tried to use a computer. That's when the full extent of my vision problems hit me. I’d always had perfect vision, but now, without the pain meds masking the symptoms, it was a different story. I'm susceptible to certain lights, my vision is worse in both eyes, and I have double vision almost all the time. I've learned to compensate a little, but it's a constant struggle. I can manage about an hour on the computer and maybe 30 minutes of reading.

Finally, I was able to get an appointment with a neuro-ophthalmologist.

A New Perspective: Gratitude, Fear, and the Will to Keep Going

I'm now rocking a pair of glasses, both distance and reading, and let me tell you, adjusting is a whole new adventure. I've just started vision rehab, focusing on getting my eyes back on track. We're working on everything – improving focus, correcting double vision, and trying to get my perspective back to normal.

That's where I am right now, and honestly, I'm filled with a mix of gratitude and, well, fear. I am grateful for surviving, for the amazing support of my family, and a newfound appreciation for life. But also fear. Fear of the tiny tumor still lingers in my head, a constant reminder of what I've been through. Fear of another seizure, of never being able to live a "normal" life, of needing constant support.

The reality is that my life has changed. I've worked countless hours behind a computer, and the thought that an hour of screen time now takes all my energy is disheartening. It's a slow, frustrating process, and it's taking much longer than I ever imagined.

But you know what? It could be worse. So much worse. I've survived this, and I survived childhood leukemia. I'm a survivor, and I'm not going to let this define me.

I'm learning to embrace my "new normal," to celebrate the small victories, and to be patient with myself. I'm learning to ask for help when I need it and to appreciate the moments of joy and connection with my family and pets.

This journey has taught me so much about resilience, the power of love, and the importance of cherishing every moment. Life is precious, and we never know what tomorrow may bring.

So, I'm going to keep fighting, keep healing, and keep sharing my story. Because even amid fear and uncertainty, there's always hope.

What You Can Do:

Final Unbroken Collective How Do I Heal T-shirt Dark Colors
from $22.89

This is more than just fabric; it's a testament to the unbreakable spirit in all of us.

For some of us, life has been a relentless current of sickness, with only brief, precious glimpses of health. This is "THE CONSTANT STRUGGLE." It's the silent war within, the exhaustion of the body, the fracturing of the mind. It’s the raw, desperate plea in every sleepless night, every exhausting day: How do we find peace when our lives feel like a perpetual battlefield? This is why the "FINAL UNBROKEN COLLECTIVE" exists. The front of the shirt features a powerful logo with stylized letters, a sword, and a cancer cell. Below this emblem, the words "FINAL UNBROKEN COLLECTIVE" are boldly displayed. The back of the shirt features the haunting image of a silhouetted figure connected by wires and tubes, standing in a fragmented, swirling world. Above it, the question: "THE CONSTANT STRUGGLE: HOW DO I TRULY HEAL?" Wear this shirt as your story. Let it speak of the fights you've endured, the strength you've found in never truly being "healed" but always fighting. Let it be a dark badge of courage, a quiet nod to those who understand this relentless struggle. Because even when you're fighting, falling, dying, and crawling, the love you have runs deep. And in this collective, you are never truly alone. * Don’t forget to check Additional Info Below for the full story on this product as well as its details.

  • Share your stories of resilience: Have you overcome challenges in your life? Share your experiences in the comments.

  • Offer words of encouragement: Send your support to [Your Name] and his family.

  • Remember to be kind to yourself: Recovery is a process, and it's okay to have good days and bad days.

  • Find your support system: Connect with others who understand what you're going through.

This expanded version includes the missing details about the initial seizures, the broken shoulder, and the long road to recovery for both your shoulder and your vision. It also weaves in a stronger message about cherishing life and finding strength in adversity, aligning with the overall tone and purpose of your website.

Previous
Previous

Cracking the Code: A Parent's Ultimate Guide to Gen Z Slang

Next
Next

Top 18 Safest Games for Kids: A Comprehensive Guide for Parents